六合彩生肖

您好,欢迎进入西安中心医院官方网站!

手机版二维码
六合彩生肖中心

六合彩生肖中心

 » 内容
神经外科在神经内镜辅助下完成巨大垂体瘤全切术
发布人:guifeng  发布日期:2018-03-06

        近日,市中心医院神经外科王占尧主任医师继内镜下完成幕上血肿清除、幕下后颅凹血肿清除手术后,又在神经内镜辅助下为一名患者行经鼻-蝶入路垂体瘤切除手术。进一步完善了六合彩生肖 神经外科对神经内镜技术的全面掌握。

 

 

 

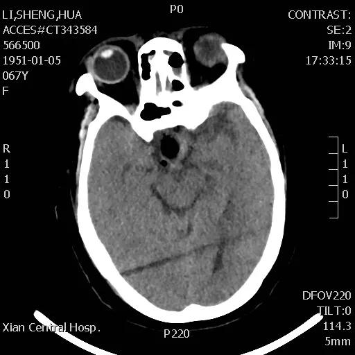
李女士头痛一年多,近日头痛加重并伴有视力迅速下降的症状,经朋友介绍,来到市中心医院神经外科王占尧主任医师处就诊。王主任通过与病人深切交谈,了解其既往病史、生活习惯、家族病史等后,均未发现有何异常,王占尧主任医师立即成立诊疗小组对李女士的情况进行分析并制定了神经内镜下手术的治疗方案。

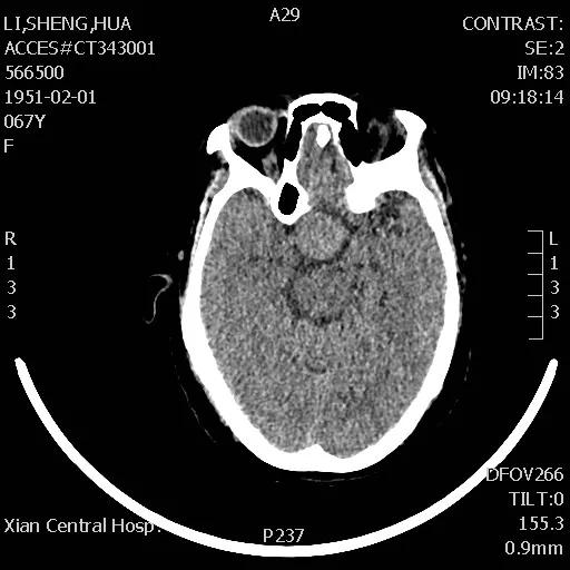
手术于次日下午进行,整个过程非常顺利,患者预后也非常理想,术后复查CT显示肿瘤切除干净,患者视力改善明显,经过一段时间的后续治疗,患者已痊愈出院。

【垂体瘤】是颅内较常见肿瘤,多见于育龄期男女,由于肿瘤位于鞍区,位置深在,手术难度大。经鼻-蝶入路可大大降低手术创伤,只需取一侧鼻孔进行手术,无体表手术切口,患者更易接受,该术式已成为垂体瘤首选的手术方案。与传统显微镜下经鼻-蝶入路垂体瘤相比,内镜手术存在诸多优势,可弥补显微镜只能直视的缺点,提高肿瘤全切除率。